まとめ 凸凹 (442 無料写真)

x

専用2点おまとめ 凸凹工房 おはなし組木。

好きです: 152

専用デコボコ様 まとめ売り。

好きです: 195

まとめ 3M スコッチ 強力両面テープ 多用途凸凹面用 15mm×10m PSD-15R。

好きです: 16

まとめ 3M スコッチ 強力両面テープ 多用途凸凹面用 15mm×10m PSD-15R 1巻 ×3セット強力な粘着力で、凹凸面でもしっかりと貼り付く便利な両面テープ、まとめてお得にGET 3Mスコッチの多用途凸凹面用テープ、15mm×10mの1巻を3セット Amazon3M スコッチ超強力両面。

好きです: 381

発達凸凹子連れ帰省はトラブル必至!?長距離移動に義実家滞在、対策グッズも 帰省体験談LITALICO発達ナビ。

好きです: 45

凸デコボコ凹様 リクエスト 2点 まとめ商品。

好きです: 85

片恋ストラテジー 凸凹コミュニケーション 特典付 まとめ売り - メルカリ。

好きです: 84

5年のまとめくん—新しい理科・学習用語 中古品凸凹中学受験 中学受験生。

好きです: 406

まとめ得 版画和紙 60kg凸凹版用 4切 100枚x3個t。

好きです: 318

凸デコボコ凹様 リクエスト 2点 まとめ商品。

好きです: 252

レザック66 215kg A4 40枚全50色より1色選択 カーフ風 革柄 皮のようなテクスチャー エンボス 凸凹 レザックシリーズレザックの質感や種類、色、何に使うか、通販価格などまとめて徹底解説! - 紙の問屋 卸の安さと品揃え 全国送料無料 業務ペーパ。

好きです: 215

まとめコニシ ボンド両面テープ 凸凹面用 0.85mm×15mm×2m 04684 1巻×30セット21楽天市場まとめコニシボンド両面テープ 凸凹面用 0.85mm×15mm×2m 04684 1巻×30セット: ELMONO 家具 ラグ カーペット。

好きです: 261

ハッシュタグ「発達凸凹ちゃんが使いやすい文房具」まとめ 更新随時 不器用な人にもお勧め発達障害ADHDASDLD視覚支援 -posfie。

好きです: 200

治らない皮膚科でも治らなかった万年凸凹ニキビ肌が試してたどり着いたスキンケアまとめ 結局これ- nene ネネ。

好きです: 387

不登校・発達障害等の子育て本まとめ売り 天才肌な発達凸凹っ。

好きです: 107

まとめパームたわし 掃除用品純植物性繊維使用台所掃除 キッチン 用品×120個セットキッチンの凸凹面もピカピカ自然素材の洗浄力で、調理器具やざる・まな板もスッキリ キッチンタワシ 120個セット送料無料。

好きです: 414

専用2点おまとめ 凸凹工房 おはなし組木 おはなし組木「おおきなかぶ」 でこぼこ。

好きです: 462

かもめ 凸凹様 リクエスト 3点 まとめ商品 まとめ売り。

好きです: 115

専用 2点おまとめ 専用2点おまとめ 凸凹工房 おはなし組木 ベビ。

好きです: 429

Amazon.co.jp:まとめ売りミツヤ 凸凹壁攻略 強粘着フック ステンレスKSH-5-SUS 10セット: 文房具・オフィス用品。

好きです: 357

凹凸ちゃんねる。

好きです: 121

まとめ売り ちぐさくん 凸凹理論 グッズ アクリルキーホルダー アクキー まとめ売り ちぐさくん 凸凹理論。

好きです: 26

Amazon.co.jp:まとめ売りミツヤ 凸凹壁攻略 強粘着フック ステンレスKSH-5-SUS 10セット: 文房具・オフィス用品。

好きです: 369

コウメ凸凹様 リクエスト 2点 まとめ商品 - メルカリ。

好きです: 500

専用2点おまとめ 凸凹工房 おはなし組木 おはなし組木「おおきなかぶ」 でこぼこ。

好きです: 73

凸レンズ・凹レンズ高校物理をあきらめる前に。

好きです: 479

ゆうしの 凸凹ショックとゆうしのまとめ - 涼のイラスト - pixiv。

好きです: 205

夫婦関係は良好!?発達凸凹子育て夫婦のリアル アンケート結果も 体験談まとめLITALICO発達ナビ。

好きです: 245

まとめ売り ちぐさくん 凸凹理論 グッズ アクリルキーホルダー アクキー まとめ売り ちぐさくん 凸凹理論。

好きです: 56

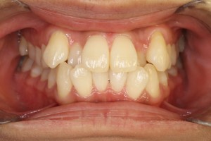
20代女性 開咬の隙間と歯列の凸凹をまとめて改善する表参道しらゆり歯科。

好きです: 246

まとめ水に浮くたわし 掃除用品バンド付き台所掃除 キッチン 用品×120個。

好きです: 356

吉岡聖恵「凸凹」リリース記念オリジナルグッズ販売開始!いきものがかり。

好きです: 262

まとめ 3M スコッチ 強力両面テープ 多用途凸凹面用 15mm×10m PSD-15R 1巻 ×10セット送料無料まとめ 3M スコッチ強力両面テープ 多用途凸凹面用 15mm×10m PSD-15R 1巻 ×10セット :イーグルアイ店 粘着テープ。

好きです: 238

でこぼこ様 リクエスト 4点 まとめ商品。

好きです: 148

小学2年生発達障害凸凹キッズの一学期のまとめテストAnge。

好きです: 77

発達凸凹育児🐥偏食との戦い まとめにゃぴまま 発達凸凹娘を育てる保育士。

好きです: 232

凸凹キッズのやる気スイッチ , 何でも先延ばし、ダラダラし過ぎ, そんなわが子の様子を見ていると, 心配だし、イライラしちゃうかもしれないけれど ,, , , 本人の努力不足や性格、だけで片付けてしまうのは, ちょっと危険かも💦, , , , なぜなら脳の働き,『実行機能』の弱さが関係していて, 支援不足の状態になっている可能性もあるから💦, , ,。

好きです: 198

専用❗2点おまとめ 専用2点おまとめ 凸凹工房 おはなし組木。

好きです: 44

まとめ得 版画和紙 60kg凸凹版用 4切 100枚x3個t。

好きです: 127

専用2点おまとめ 凸凹工房 おはなし組木。

好きです: 222

Photos by 発達凸凹ちゃんに 遊ぶように学ぶ 家庭学習を✨親勉:えんどうえみ@kosodate_emi· October 10,2025。

好きです: 160

専用2点おまとめ 凸凹工房 おはなし組木。

好きです: 132

送料無料☆ ポニーフック メタル 筒型 凸凹 ゴールド シルバー 金 銀 つや消し ヘアカフ ヘアーカフ ヘアピン 結び目隠し シンプル まとめ髪大人 かわいい 可愛い おしゃれ カジュアル 上品 オフィス 結婚式 前撮りKOBEVERYVERY。

好きです: 451

スタッズ 縁取り ヘアピン くすみカラー かわいい ぽこぽこ生地 凸凹 パッチンピン 上品 ヘアアクセサリー レディース ha-516 髪留めまとめ髪 おくれ毛。

好きです: 451

専用2点おまとめ 凸凹工房 おはなし組木。

好きです: 368

専用❗2点おまとめ 専用2点おまとめ 凸凹工房 おはなし組木。

好きです: 104

長編まとめ凸凹の元竹藪を人力整地した2年間の努力の様子がこれだ。

好きです: 137

デレマス 「凸凹スピードスター U149ver. 」収録CD デジタル配信情報まとめデレ研デレステの”わからない”を解決。

好きです: 228

コウメ凸凹様 リクエスト 2点 まとめ商品 - メルカリ。

好きです: 480

楽天市場メール便送料無料1000円ポッキリ ポニーフック ヘアーフック ヘアアクセ 変形 ニュアンス メタル 凸凹 まとめ髪 大人かわいいおしゃれ シンプル 可愛い ポニーテール 結婚式 ゴールド シルバー ヘアアレンジ レディース : JewelVOX ジュエルボックス。

好きです: 197

まとめ3M スコッチ 超強力両面テープ プレミアゴールドスーパー多用途15mm×10m PPS。

好きです: 171

スタッズ 縁取り ヘアピン くすみカラー かわいい ぽこぽこ生地 凸凹 パッチンピン 上品 ヘアアクセサリー レディース ha-516 髪留め まとめ髪おくれ毛 : ハッピーハット - 通販 - Yahoo!ショッピング。

好きです: 425
運営者
SnapBloom
オフィス住所: 3522 愛菜Grove, Suite 602, 447-7809, 東高橋村, 兵庫県, Japan
ダイレクトライン: +81 90-3084-0476